Skip to content Skip to sidebar Skip to footer

Loculated Pleural Effusion : Loculated Pleural Effusion - Pleural Effusion Im Reference ... : Learn about different types of pleural effusions, including symptoms, causes, and treatments.

Loculated Pleural Effusion : Loculated Pleural Effusion - Pleural Effusion Im Reference ... : Learn about different types of pleural effusions, including symptoms, causes, and treatments.. Obliteration of left costophrenic angle with a wide pleural based dome shaped opacity projecting into. Learn step 2 and shelf essentials in a free 10 min video. Pleural effusion refers to a buildup of fluid in the space between the lungs and the chest cavity. Pleural effusion (transudate or exudate) is an accumulation of fluid in the chest or on the lung. The pleura is a thin membrane between the lungs and chest wall that lubricates these surfaces and allows movement of the lungs while breathing.

A pleural effusion is an accumulation of fluid within the pleural space. It can also be life threatening. Zaid zoumot, mbbs, ali s. Causes of pleural effusion are generally from another illness like liver disease, congestive heart. Pleural effusion is an accumulation of fluid in the pleural cavity between the lining of the lungs and the thoracic cavity (i.e., the visceral and parietal pleurae).

File:Pleura effusion.jpg - Wikimedia Commons
File:Pleura effusion.jpg - Wikimedia Commons from upload.wikimedia.org
Case contributed by dr prashant mudgal. Loculated effusions are mostly due to adhesions driven by pleural inflammation; Wahla, mbbs and samar farha, md. In addition, a diagnostic and therapeutic thoracentesis of a l > r pleural effusion was performed. Learn about pleural effusion including causes of pleural effusion. Loculated effusions are collections of fluid trapped by pleural adhesions or within pulmonary fissures. The precise pathophysiology of fluid accumulation varies according to underlying aetiologies. Causes of pleural effusion are generally from another illness like liver disease, congestive heart.

Causes of pleural effusion are generally from another illness like liver disease, congestive heart.

If none is present the fluid is virtually always a transudate. More than one half of these massive. Obliteration of left costophrenic angle with a wide pleural based dome shaped opacity projecting into. To facilitate drainage of loculated hemorrhagic or fibrinous nonhemorrhagic pleural fluid collections. Case contributed by dr prashant mudgal. Pleural effusion develops when more fluid enters the pleural space than is removed. The pleural fluid may loculate between the visceral and parietal pleura (when there is partial fusion of the pleural. Pleural effusions occur as a result of increased fluid formation and/or reduced fluid resorption. Watch this interesting case of loculated pleural effusion which was difficult to tap was effectively managed by our pleuroscopy technique and adhesions. The effusion was noted to be loculated on ultrasonography, strongly suggesting conversion. Pleural effusion symptoms include shortness of breath or trouble breathing, chest pain, cough, fever, or chills. A pleural effusion is accumulation of excessive fluid in the pleural space, the potential space that surrounds each lung. It can also be life threatening.

Pleural fluid/serum protein ratio >0.5. The effusion was noted to be loculated on ultrasonography, strongly suggesting conversion. It can also be life threatening. Learn about pleural effusion including causes of pleural effusion. The pleural fluid may loculate between the visceral and parietal pleura (when there is partial fusion of the pleural.

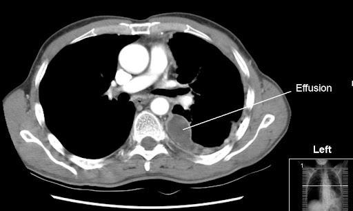
Loculated pleural effusion | Image | Radiopaedia.org
Loculated pleural effusion | Image | Radiopaedia.org from images.radiopaedia.org
In addition, a diagnostic and therapeutic thoracentesis of a l > r pleural effusion was performed. Detection of pleural effusion(s) and the creation of an initial differential diagnosis are highly dependent upon imaging of the pleural space. .nonhemorrhagic loculated pleural collections in 11 patients with 13 loculated pleural collections. Learn about pleural effusion including causes of pleural effusion. Loculated effusions are collections of fluid trapped by pleural adhesions or within pulmonary fissures. Pleural fluid ldh > two thirds of upper limit for serum ldh. Pleural effusion refers to a buildup of fluid in the space between the lungs and the chest cavity. More than one half of these massive.

Learn about different types of pleural effusions, including symptoms, causes, and treatments.

Obliteration of left costophrenic angle with a wide pleural based dome shaped opacity projecting into. Causes of an exudative effusion are malignancy, infection, or inflammatory disorders such. Learn step 2 and shelf essentials in a free 10 min video. Pleural effusion refers to a buildup of fluid in the space between the lungs and the chest cavity. Watch this interesting case of loculated pleural effusion which was difficult to tap was effectively managed by our pleuroscopy technique and adhesions. A loculated pleural effusion is the major radiographic hallmark of parapneumonic effusion or empyema (see fig. Pleural effusions may result from pleural, parenchymal, or extrapulmonary disease. The precise pathophysiology of fluid accumulation varies according to underlying aetiologies. It can result from pneumonia and many other conditions. Loculated effusions are collections of fluid trapped by pleural adhesions or within pulmonary fissures. More than one half of these massive. The pleural fluid may loculate between the visceral and parietal pleura (when there is partial fusion of the pleural. Zaid zoumot, mbbs, ali s.

If none is present the fluid is virtually always a transudate. Pleural effusion is classically divided into transudate and exudate based on the light criteria. Pleural fluid/serum protein ratio >0.5. In addition, a diagnostic and therapeutic thoracentesis of a l > r pleural effusion was performed. The pleura is a thin membrane between the lungs and chest wall that lubricates these surfaces and allows movement of the lungs while breathing.

hydatidosis | Medical radiography, Radiology, Medical ...
hydatidosis | Medical radiography, Radiology, Medical ... from i.pinimg.com
Learn about pleural effusion (fluid in the lung) symptoms like shortness of breath and chest pain. The pleura are thin membranes that line the lungs and the. Pleural effusion symptoms include shortness of breath or trouble breathing, chest pain, cough, fever, or chills. Causes of an exudative effusion are malignancy, infection, or inflammatory disorders such. Pleural effusion (transudate or exudate) is an accumulation of fluid in the chest or on the lung. Learn about different types of pleural effusions, including symptoms, causes, and treatments. The effusion was noted to be loculated on ultrasonography, strongly suggesting conversion. Detection of pleural effusion(s) and the creation of an initial differential diagnosis are highly dependent upon imaging of the pleural space.

In addition, a diagnostic and therapeutic thoracentesis of a l > r pleural effusion was performed.

The precise pathophysiology of fluid accumulation varies according to underlying aetiologies. Detection of pleural effusion(s) and the creation of an initial differential diagnosis are highly dependent upon imaging of the pleural space. More than one half of these massive. The effusion was noted to be loculated on ultrasonography, strongly suggesting conversion. It can result from pneumonia and many other conditions. Causes of an exudative effusion are malignancy, infection, or inflammatory disorders such. Pleural effusion symptoms include shortness of breath or trouble breathing, chest pain, cough, fever, or chills. The pleura are thin membranes that line the lungs and the. Pleural effusions occur as a result of increased fluid formation and/or reduced fluid resorption. A pleural effusion is accumulation of excessive fluid in the pleural space, the potential space that surrounds each lung. Case contributed by dr prashant mudgal. Pleural fluid/serum protein ratio >0.5. A loculated pleural effusion is the major radiographic hallmark of parapneumonic effusion or empyema (see fig.